HOME
ÜBER UNS
Team
SERVICE
LEISTUNGEN
Implantate
Kronen / Brücke
Veeners
Aufbissschienen
AKTUELL
IMPLANTATE 4
Implantate 4
Gefräster Steg
Button
Fertige Arbeit von Basal
Button
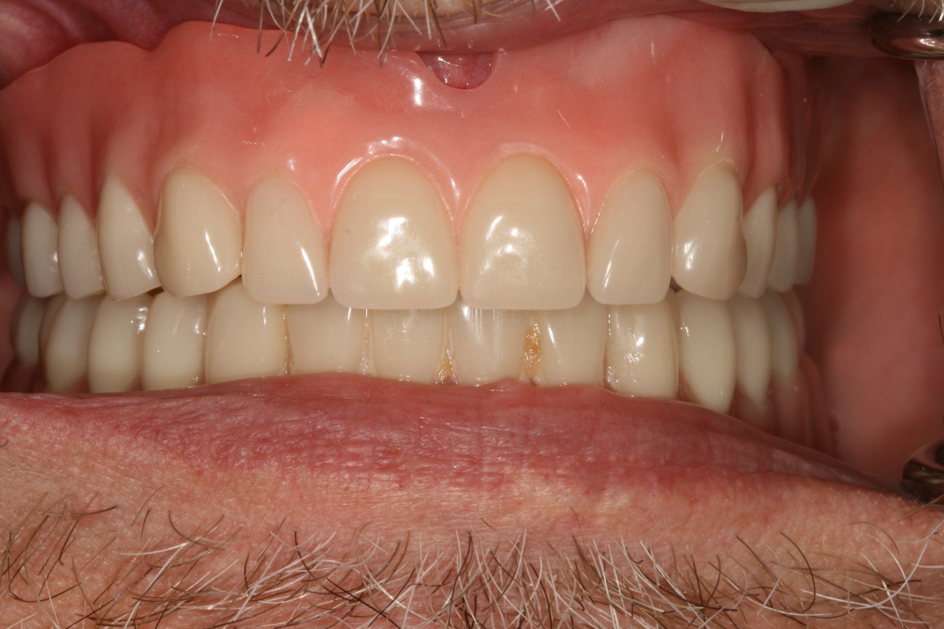
Mundsituation
Button
Steg in Situation
Button
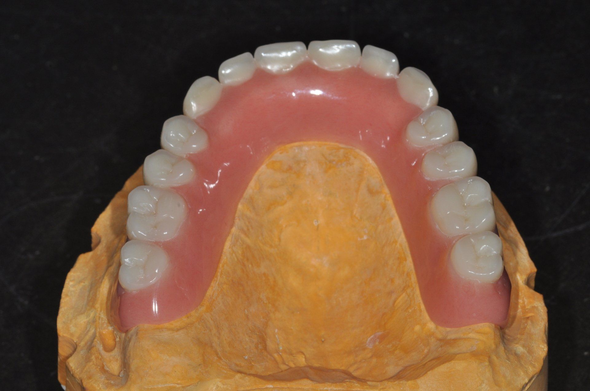
Reduzierte Prothese auf Modell
Button
Atechments des gefrästen Stegs
Button
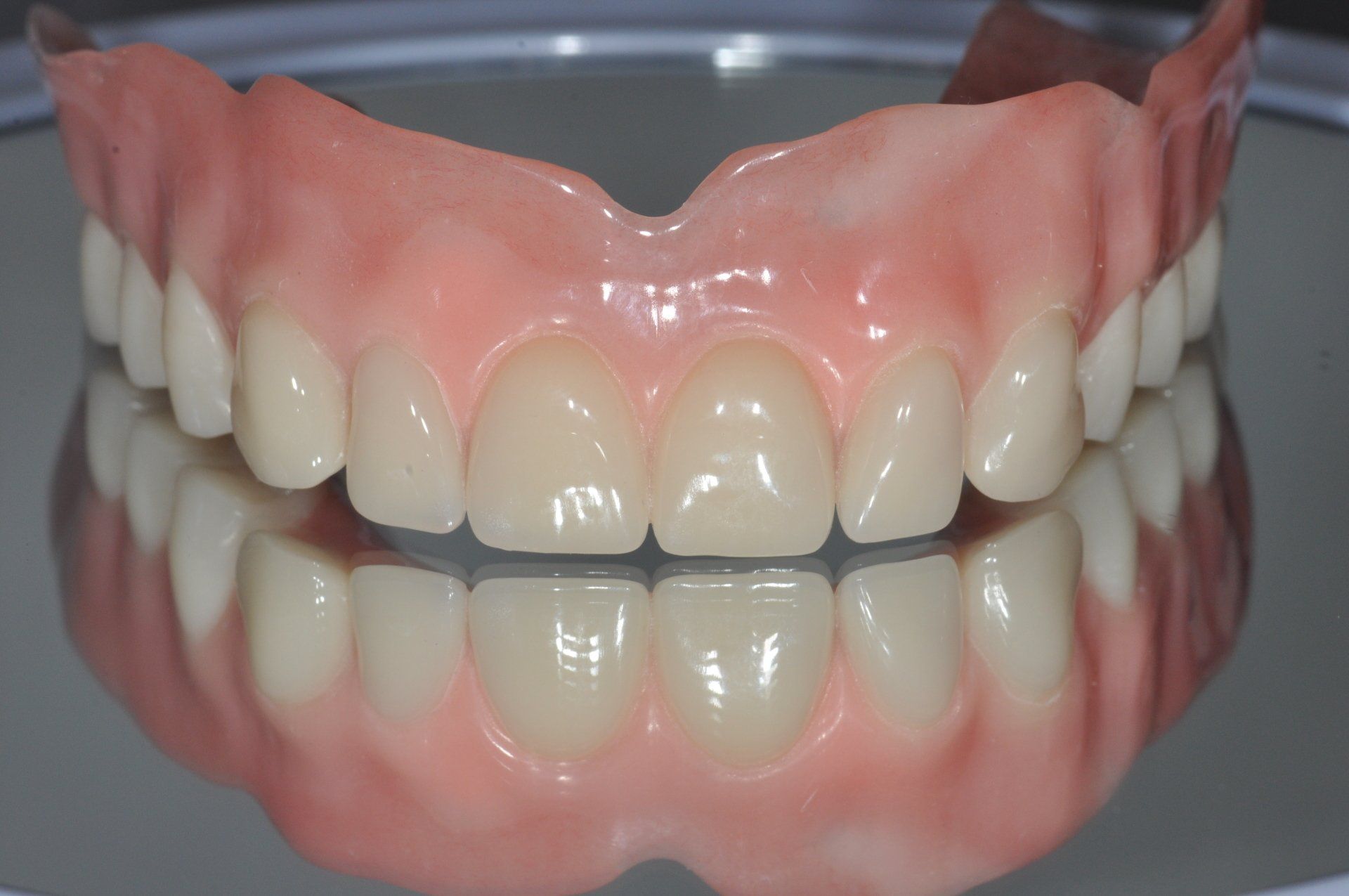
Schöne Adaption der Prothese im Oralen Bereich
Button
Schöne Adaption der Prothese im Oralen Bereich
Button
Mehrfarbige, lebendige Fertigstellung in Kunststoff
Button
Barbier-Dental
Inh.: Klaus Barbier
Münstereifeler Straße 36
53879 Euskichen
Tel.: 0 22 51 / 86 08 06
Fax: 0 22 51 / 86 08 08
E-Mail:
info@barbier-dental.de
Web: www.barbier-dental.de
Follow Us
IMPRESSUM
I
DATENSCHUTZ
I
Powered by Pagestreet
Share by: