HOME
ÜBER UNS
Team
SERVICE
LEISTUNGEN
Implantate
Kronen / Brücke
Veeners
Aufbissschienen
AKTUELL
kronen brücke 2
Kronen Brücke 2
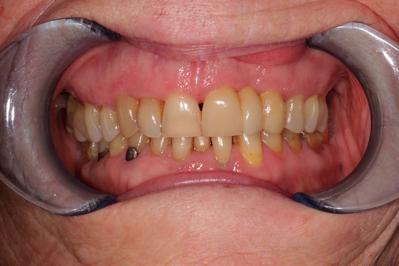
Alte VMK Kronen
Button
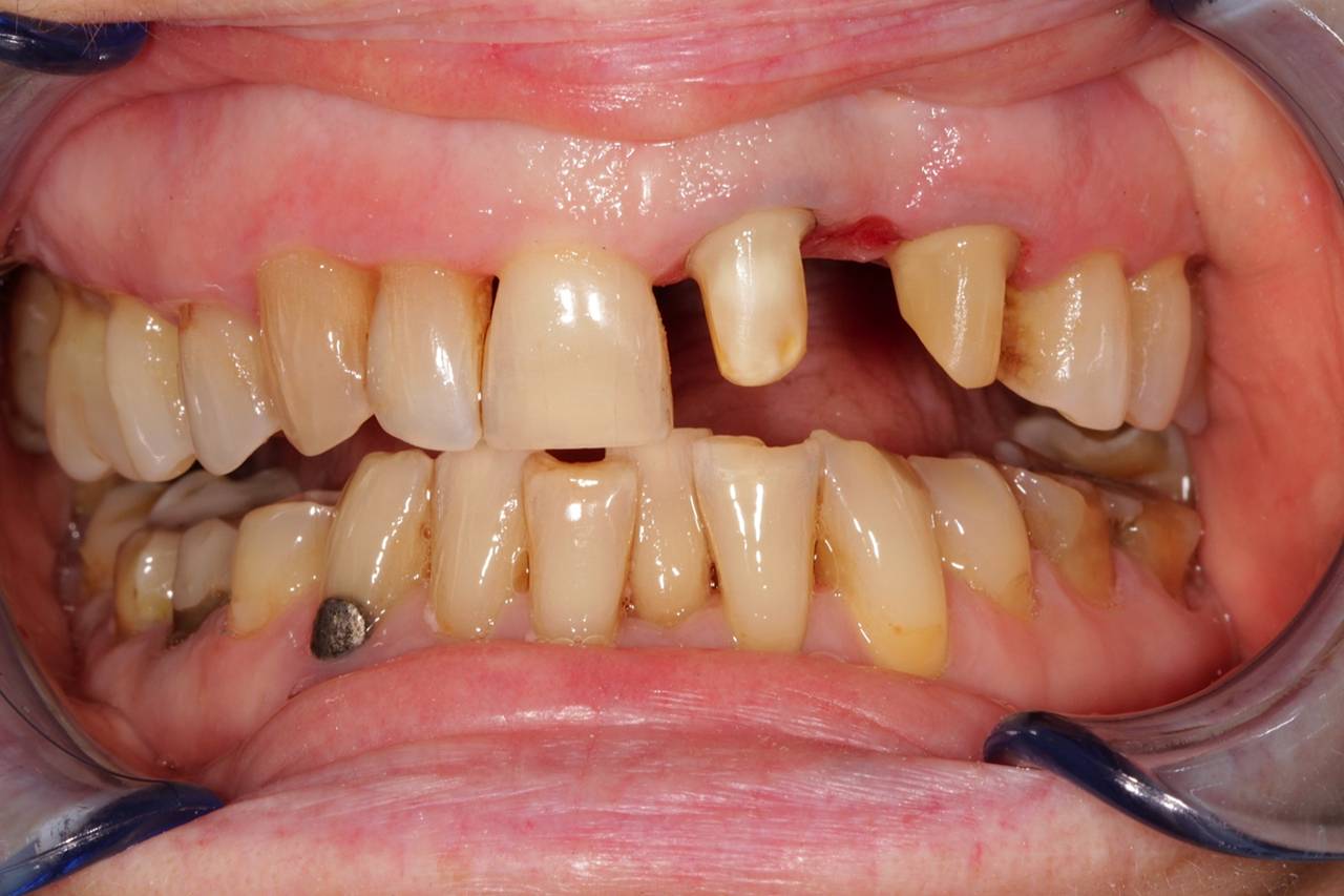
Präp 21-23
Button
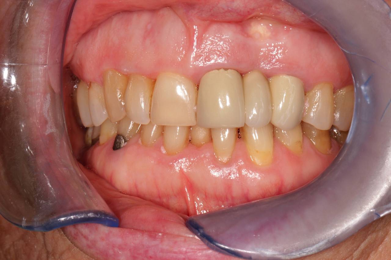
Mit Zirkon schönes Ergebnis
Button
Da kann man nicht mäckern!!
Button
Barbier-Dental
Inh.: Klaus Barbier
Münstereifeler Straße 36
53879 Euskichen
Tel.: 0 22 51 / 86 08 06
Fax: 0 22 51 / 86 08 08
E-Mail:
info@barbier-dental.de
Web: www.barbier-dental.de
Follow Us
IMPRESSUM
I
DATENSCHUTZ
I
Powered by Pagestreet
Share by: